Nuestro Blog Dental

Consejos para elegir el diseño de sonrisa adecuado a ti

Consejos para elegir el diseño de sonrisa adecuado a ti

¿Estás buscando mejorar tu sonrisa? Los diseños de sonrisa pueden ayudarte a lograr la apariencia que deseas. En esta guía, te explicamos qué son los diseños de sonrisa y cómo elegir el diseño de sonrisa que mejor se adapte a tus necesidades.

Además, en los meses de mayo y junio de 2023 en Clínica Dental Castilla tenemos diferentes promociones especiales en tratamientos de armonización del tercio facial inferior, es decir, en tratamientos de blanqueamiento dental de larga duración y tratamientos de ácido hialurónico (perfilado e hidratación de labios y disimulación del código de barras).

Consejos para elegir el diseño de sonrisa que se adapta a ti.

Para elegir el diseño de sonrisa adecuado, te damos cuatro consejos para elegir el diseño de sonrisa que más se adapta a ti.

1. Comprende tus necesidades

Parece una tontería, pero esto es totalmente necesario en todos los pacientes. Antes de elegir un diseño de sonrisa, es importante que comprendas tus necesidades y expectativas. ¿Qué es lo que te molesta de tu sonrisa actual? ¿Quieres blanquear tus dientes, corregir la alineación o cambiar la forma de tus dientes? También debes considerar tu estilo de vida y presupuesto, ya que algunos diseños de sonrisa pueden requerir más mantenimiento y ser más costosos que otros.

Al tener claras tus necesidades y expectativas, podrás elegir el diseño de sonrisa adecuado para ti. En Clínica Dental Catilla siempre abogamos por un tratamiento personalizado. Nunca te recomendaremos algo de lo que nosotros no estemos seguro, puedes estar tranquilo.

2. Busca una clínica dental especializada en estos tratamientos

Para elegir el diseño de sonrisa adecuado para ti, es importante buscar un dentista especializado en este campo. Un dentista especializado en diseño de sonrisa tendrá la experiencia y habilidades necesarias para evaluar tus necesidades y recomendarte las opciones de tratamiento más adecuadas con las que podrás elegir el diseño de sonrisa adecuado y definitivo para ti.

Además, las clínicas especializadas en este tratamiento como es la Clínica Dental Castilla, podrán mostrarte ejemplos de trabajos anteriores y ayudarte a visualizar cómo se verá tu nueva sonrisa. Asegúrate de investigar y elegir un dentista con buenas referencias y opiniones de pacientes anteriores. Opta por la calidad antes que la cantidad.

3. Considera la forma de tu rostro y la alineación de tus dientes

Al elegir el diseño de sonrisa adecuado para ti, es importante considerar la forma de tu rostro y la alineación de tus dientes. Por ejemplo, si tienes un rostro redondo, es posible que desees un diseño de sonrisa que tenga dientes más largos y angulares para equilibrar tus características faciales. Si tus dientes están desalineados, es posible que necesites un tratamiento de ortodoncia antes de comenzar a elegir el diseño de sonrisa.

Un dentista especializado en diseño de sonrisa podrá evaluar estas características y recomendarte las opciones de tratamiento más adecuadas para ti.

Consejos para elegir el diseño de sonrisa

4. Elige el tipo de tratamiento que mejor se adapte a tus necesidades

Antes de elegir el diseño de sonrisa adecuado para ti, es importante que conozcas las diferentes opciones de tratamiento disponibles. Algunas opciones comunes incluyen carillas dentales, blanqueamiento dental, implantes dentales y ortodoncia. Cada opción tiene sus propias ventajas y desventajas, por lo que es importante que hables con un dentista especializado en diseño de sonrisa para determinar cuál es la mejor opción para ti. Recuerda que el objetivo final es lograr una sonrisa hermosa y saludable que te haga sentir seguro y feliz.

¿Qué hacer después de elegir el diseño de sonrisa?

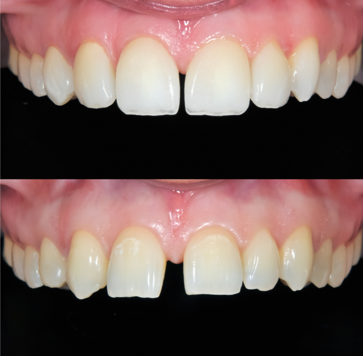
Antes y después de un diseño de sonrisa

Lo que debes hacer para mantener tu diseño de sonrisa es mantener una higiene dental adecuada. Una vez que hayas elegido el diseño de sonrisa adecuado para ti y hayas completado el tratamiento, es importante que mantengas una buena higiene dental para mantener tu nueva sonrisa radiante.

Esto incluye cepillarse los dientes dos veces al día, usar hilo dental diariamente y visitar a tu dentista regularmente para limpiezas y chequeos. También es importante evitar alimentos y bebidas que puedan manchar tus dientes, como café, té y vino tinto.

Con el cuidado adecuado, tu nueva sonrisa puede durar muchos años.

Confía en Clínica Dental Castilla, tu clínica de confianza en Ávila. ¡Y no te olvides de seguirnos en nuestras Redes Sociales! ! Aquí encontrarás consejos, información útil y novedades sobre nuestra clínica. ¡Te esperamos con los likes abiertos!